La restauración estética busca mejorar la sonrisa y la funcionalidad de los dientes mediante procedimientos como empastes estéticos, carillas, blanqueamiento, coronas o incluso ortodoncia estética. Se utilizan materiales que imitan el esmalte dental y permiten un acabado natural.
Principales Tratamientos de Restauración Estética
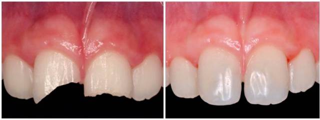
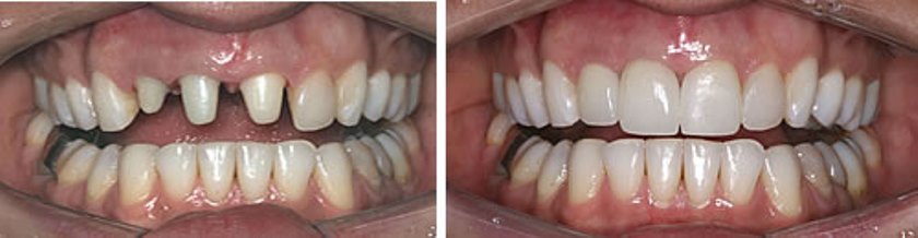
- Carillas Dentales (Porcelana o Composite): Láminas finas adheridas a la parte frontal del diente para corregir forma, color, cierres de espacios (diastemas) o fracturas pequeñas.
- Restauraciones de Composite: Resinas de última generación que se mimetizan con el diente, ideales para obturaciones (empastes) funcionales y estéticas, cerrando fracturas o eliminando manchas.
- Incrustaciones (Inlays/Onlays): Restauraciones a medida utilizadas cuando la caries o daño es significativo, pero no requiere una corona completa.
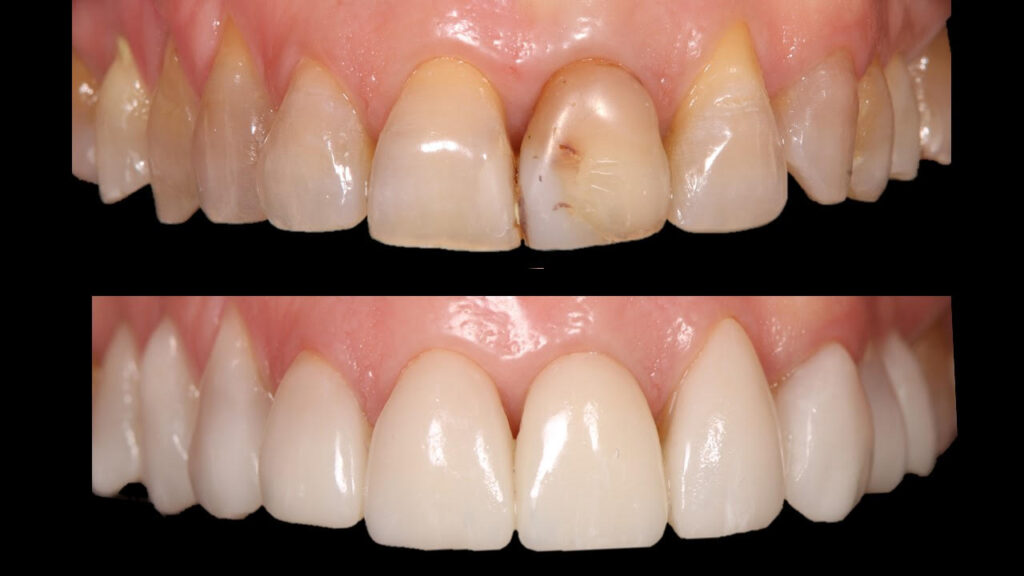
- Coronas de Zirconio o Cerámica: Fundas que cubren todo el diente para dientes muy dañados, ofreciendo alta resistencia y estética sin metal.
Ventajas
- Mínimamente invasiva: Se conserva la mayor parte de la estructura dental sana.
- Resultados naturales: Los materiales se mimetizan con el color y textura del diente.
- Mejora de la función y estética: Devuelve la anatomía original y la confianza al sonreír.
La selección del tratamiento depende de una evaluación odontológica para determinar la complejidad del caso y el estado de la boca




