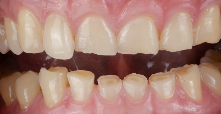
El bruxismo es el hábito involuntario de apretar o rechinar los dientes, generalmente por la noche. Puede provocar desgaste dental, fracturas y dolores musculares o articulares. El tratamiento puede incluir férulas de descarga y técnicas para reducir el estrés.

